peugeot pulmonaire

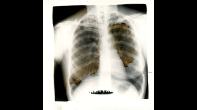
The east of France is dying, we see a half-empty factory and a mass of workers caught between precariousness and impotence. X-rays of their calcified lungs scroll by at the rhythm of a mechanical press under which one suffocates.

Film Maker
Benammar, Samy
Year
2021
Country
Canada
Length
23
Language
French
Category
(De)colonization, Activism + Protest, cameraless, Capitalism + Economics, Mortality, Politics + Policy, Society, Violence
Genre
Animation, documentary, experimental

Stills From Video

  • Still 1
  • Still 2